Bafra Haber, Bafrahaber, Bafra Haberleri, altinovagazete.com

Bafra Haber, Bafrahaber, Bafra Haberleri, altinovagazete.com
banner87
  • ANA SAYFA
  • GALERİLER
  • VİDEOLAR
  • YAZARLAR
  • ÜYE OL
  • GİRİŞ YAP
  • SAMSUN HABER
  • DÜNYADAN HABER
  • GENEL HABER
  • GÜNCEL HABERLER
  • KÜLTÜR-SANAT
    • EĞİTİM
    • SİNEMA
    • GÜNDEM HABER
    • ASAYİŞ HABER
    • SPOR HABER
    • EKONOMİ HABERLERİ
    • ULUSAL HABER
    • TEKNOLOJİ HABERLERİ
    • SAĞLIK HABERLERİ
    • TARIM HABERLERİ
    • POLİTİKA HABERLERİ
    • Genel
    • Ekonomi
    • Spor
    • Sağlık
    • Bilim, Teknoloji
    • İlan
    • SİNOP
    • KARABÜK
    • KASTAMONU
    • ORDU
    • ZONGULDAK
    • AMASYA
    • TOKAT
    • DÜZCE
    • GİRESUN
    • TRABZON
    • BOLU
    • GÜMÜŞHANE
    • ÇORUM
    • YOZGAT
    • BARTIN
    • BAYBURT
    • RİZE
    • ARTVİN
    • SİVAS
    • ANKARA
    • İSTANBUL
    • SAKARYA
    • ÇANKIRI
    • BATMAN
    • BURSA
    • BİLECİK
    • EDİRNE
    • ERZURUM
    • TEKİRDAĞ
    • İZMİR
    • KONYA
    • YALOVA
    • ÇANAKKALE
    • ESKİŞEHİR

"Farabi Hastanesi" Arama Sonuçları

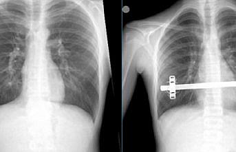
Trabzon'da omurga vidalama ameliyatı geçiren hasta sağlığına kavuştu
Trabzon'da omurga vidalama ameliyatı geçiren hasta sağlığına kavuştu
Trabzon'da böbrek hastası çocukların hazırladığı kitaplar tanıtıldı
Trabzon'da böbrek hastası çocukların hazırladığı kitaplar tanıtıldı
Hastane duvarları kadınların fırça darbeleriyle renklendi
Hastane duvarları kadınların fırça darbeleriyle renklendi
KTÜ'de hastalığın tanısında kriyobiyopsi yöntemi uygulanan kadın kavuştu
KTÜ'de hastalığın tanısında kriyobiyopsi yöntemi uygulanan kadın kavuştu
Trabzon'da,
Trabzon'da, "kapalı kunduracı göğsü ameliyatı" olan hasta sağlığına kavuştu
  • ANA SAYFA
  • KÜNYE
  • REKLAM
  • İLETİŞİM
  • + SİTENE EKLE
  • SAMSUN HABER
  • DÜNYADAN HABER
  • GENEL HABER
  • GÜNCEL HABERLER
  • KÜLTÜR-SANAT
  • EĞİTİM
  • SİNEMA
  • GÜNDEM HABER
  • ASAYİŞ HABER
  • SPOR HABER
  • EKONOMİ HABERLERİ
  • ULUSAL HABER
  • TEKNOLOJİ HABERLERİ
  • SAĞLIK HABERLERİ
  • TARIM HABERLERİ
  • POLİTİKA HABERLERİ
Bafra Haber, Bafrahaber, Bafra Haberleri, altinovagazete.com

Copyright 2011 © by altinovagazete.com


Tüm Hakları Saklıdır. Altınova Gazetesi - Copyright © 2026

  • TE Bilişim