ANA SAYFA
GALERİLER
VİDEOLAR
YAZARLAR
ÜYE OL
GİRİŞ YAP
SAMSUN HABER
DÜNYADAN HABER
GENEL HABER
GÜNCEL HABERLER
KÜLTÜR-SANAT
Ara
EĞİTİM
SİNEMA
GÜNDEM HABER
ASAYİŞ HABER
SPOR HABER
EKONOMİ HABERLERİ
ULUSAL HABER
TEKNOLOJİ HABERLERİ
SAĞLIK HABERLERİ
TARIM HABERLERİ
POLİTİKA HABERLERİ
Genel
Ekonomi
Spor
Sağlık
Bilim, Teknoloji
İlan
SİNOP
KARABÜK
KASTAMONU
ORDU
ZONGULDAK
AMASYA
TOKAT
DÜZCE
GİRESUN
TRABZON
BOLU
GÜMÜŞHANE
ÇORUM
YOZGAT
BARTIN
BAYBURT
RİZE
ARTVİN
SİVAS
ANKARA
İSTANBUL
SAKARYA
ÇANKIRI
BATMAN
BURSA
BİLECİK
EDİRNE
ERZURUM
TEKİRDAĞ
İZMİR
KONYA
YALOVA
ÇANAKKALE
ESKİŞEHİR
"Ameliyat" Arama Sonuçları
Çorum'da yeni doğana ilk Özofagus ameliyatı başarıyla yapıldı
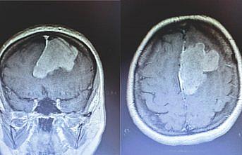
Beynindeki “dev anevrizma“dan kapalı yöntem ameliyatla kurtuldu
Enfeksiyon nedeniyle damağı çürüyen sahipsiz kedi, kıkırdaktan yapılan yamayla yaşama bağlandı
Trabzon'da mesanesinde tümör tespit edilen hasta ameliyatla sağlığına kavuştu
Amasya'da akciğer kanseri ameliyatı kapalı yöntemle başarıyla yapıldı
Samsun Eğitim ve Araştırma Hastanesi'nde ilk kornea nakli gerçekleştirildi
Kastamonu'dan geçtiği sırada aort damarı yırtılan Azerbaycanlı tır şoförü ameliyat edildi
Bartınlı çift, obezite ameliyatı için Sevgililer Günü'nü seçti
Çorum'da 3 boyutlu yazıcıyla üretilen kalça protezi, ameliyatla hastaya uygulandı
Bayıltan kitleden 5 saatlik ameliyatla kurtuldu
Aort yırtığı 10 saat süren hibrit ameliyatla tedavi edildi
Erbaa'da beyin tümörü ameliyatı yapıldı
Zonguldak'ta otomobilin çarpmasıyla kabuğu kırılan kaplumbağa tedaviye alındı
Karabük'te 38 yıldır bacak kısalığı sorunu yaşayan hasta ameliyatla sağlığına kavuştu
Zonguldak'ta kolu kıyma makinesine sıkışan kişi ameliyata alındı
İzmir'de belindeki şişlik için hastaneye başvuran kadın erken tanı sayesinde kanserden kurtuldu
Kanser hastasına midesinin alt bölümünden yemek borusu yapıldı
Çaykur Rizesporlu futbolcu Benhur Keser ameliyat edildi
Gümüşhane'de beyin kanaması geçiren 112 yaşındaki hasta ameliyat edildi
Yanık nedeniyle elini hareket ettiremeyen 3 yaşındaki Mehmet Akif, sağlığına kavuştu
Zonguldak'ta kopan ayağı yerine dikilen makine ustası yürümeye başladı
Düzce'de kadın hasta özel tedavi programıyla fazla kilolarından kurtuldu
Samsun'da bir hastanın omurga eğriliği 5,5 saatlik ameliyatla düzeltildi
Trabzon'da dizindeki bağlar kopan hasta ameliyatla yeniden yürümeye başladı
Zonguldak'ta papağan Zarife'nin kırılan bacağına platin takıldı
Zonguldak'ta yumurtlayamayan muhabbet kuşu ameliyat edildi
Doktor çift çoğu zaman ameliyatlara birlikte giriyor
Zonguldak'ta genç hasta kapalı böbrek taşı ameliyatıyla sağlığına kavuştu
Boynu kesilen atını damara yerleştirdiği bahçe hortumuyla kurtardı
Zonguldak'ta rahminde iltihap bulunan köpek ameliyatla sağlığına kavuşturuldu
Trabzon'da prematüre doğan bebeğe kasık fıtığı ameliyatı yapıldı
Ordu'da ayaklarından ameliyat olan Azerbaycanlı küçük Alisa yürümeye başladı
Tokat'ta ince bağırsağından mesane yapılan hasta sağlığına kavuştu
Rize'de kalbinde iki delik olan hasta başarılı operasyonla sağlığına kavuştu
Kırılan kolu savaş nedeniyle tedavi edilemeyen Ukraynalı kadın Çorum'da sağlığına kavuştu
Ordu'da hastanın mesanesinden "patates büyüklüğü"nde taş çıkarıldı
Tokat'ta bir hastanın safra kesesinden 14 bin 387 adet taş çıkartıldı
Savaş mağduru Muhammed'in tedavisine İstanbul'daki ameliyat sonrası yeniden başlandı
Zonguldak'ta şah damarında tümör tespit edilen hasta ameliyatla sağlığına kavuştu
Omurgasında 50 derece eğrilik olan skolyoz hastası ameliyatla sağlığına kavuştu
Göğüs kafesi çökük olan Iraklı Ahmed, şifayı İstanbul'da buldu
Karabük'te öksürük şikayetiyle hastaneye giden kadının akciğerinden çekirdek çıktı
Savaş mağduru Muhammed'in yürümesi için iki ameliyat olması gerekiyor
Zonguldak'ta kulak kemiğinde tümör bulunan hemşire 3 saatlik operasyonla sağlığına kavuştu
Parkta "maganda kurşunu"yla yaralanan bebeğin tedavisi sürüyor
Trabzon'da leğen kemiğinde 7 kırık olan hasta, ameliyatla sağlığına kavuştu
Zonguldak'ta anüsü kapalı doğan buzağı cerrahi müdahaleyle sağlığına kavuştu
Trabzon'da Kovid-19 tedavisinin ardından soluk borusu darlığı yaşayan kadın ameliyatla sağlığına kavuştu
Ayağı kırık bulunan sokak köpeği ameliyatla tedavi edildi
İşitme kaybıyla gittiği hastanede beyninden tümör çıkarıldı
1
2
»
DAHA FAZLA SONUÇ GÖSTER
DAHA FAZLA SONUÇ GÖSTER